风热牙疳
本词条由
国家中医药管理局名词术语成果转化与规范推广项目
审核认证
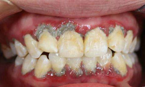
风热牙疳,中医病名。是指以牙龈红肿热痛,继而溃烂为主症的一类疾病,多发生于青壮年,起病急,发热恶寒,2-3日牙龈腐烂后口臭,剧痛。多因感受风热之邪所致。
英文名称
就诊科室
常见症状
主要病因
流行病学
好发人群
青壮年
病因
基本病因
阳明蕴热与风热之邪相搏,邪热上冲,客于牙龈而发。
诊断
诊断原则
1、多见于青壮年,春末夏初易发。
2、临床症状类似走马牙疳,伴全身不适,一般在半月内可渐痊愈,仅少数不愈者日久可致牙龈宣露,时流脓水。
诊断依据
1、多见于青壮年,春末夏初易发。
2、临床症状类似走马牙疳,伴全身不适,一般在半月内可渐痊愈,仅少数不愈者日久可致牙龈宣露,时流脓水。
治疗
其他治疗
1、蟾酥合剂或太乙膏外用,适于红肿初起,解毒、消肿化腐。
2、至宝丹外涂患处,清热解毒止痛。
预防
预防措施
1、保持口腔清洁。
2、常用激口药或温盐水含漱。
3、传染病患者应注意消毒隔离。
4、对身热,饮食不佳者,应注意加强营养,给予流质饮食或半流质饮食。
.2f2b330.png)