单纯性牙周炎
本词条由
国家中医药管理局名词术语成果转化与规范推广项目
审核认证
单纯性牙周炎(simple periodontitis)是指菌斑、牙石、食物嵌塞、不良修复体等局部因素引起的牙周支持组织的炎症性病变,常由龈炎进一步发展而来。患者早期症状不明显,严重时可有牙周袋形成、牙周溢脓、牙齿松动、牙龈退缩等症状。临床上可通过药物抗炎、龈上洁治术、龈下刮治术、牙周夹板、拔除患牙等方法来进行治疗。日常生活中注意加强口腔健康检查,争取早期就诊和及时治疗。
英文名称
遗传性
是否医保
就诊科室
发病部位
常见症状
主要病因
检查项目
重要提醒
流行病学
不会传染。
目前尚无明确的发病率相关数据。
1、35岁以上人群患病率增高。
2、吸烟人群发病风险高于正常人。
病因
牙周菌斑生物膜是引发本病的始动因子,而牙石、食物嵌塞、不良修复体等均可成为局部促进因素,加重和加速牙周炎的进展。宿主对微生物制激的应答反应是决定牙周炎发生与否,以及病情轻重、范围大小、发展速度等的重要因素。某些全身性疾病如糖尿病等也对牙周炎有负面影响。
环境和行为因素,如吸烟、精神压力等也可能是危险因素。
症状
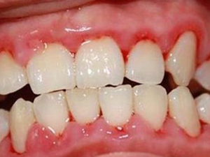
患者早期自觉症状不明显,与龈炎症状相似。在刷牙或咬硬物时可有牙龈出血,部分患者伴有口臭的表现。当牙龈炎向深处发展时,侵入龈下的牙周组织,形成牙周袋,牙槽骨吸收,牙移位松动,最后牙脱落。
1、牙周袋形成
随着炎症的扩展,牙周膜被破坏,牙槽骨逐渐被吸收,牙龈与牙根分离,使龈沟加深而形成牙周袋。
2、牙周溢脓
患者牙周袋内有脓性分泌物存留,轻按牙龈时,可见溢脓,常有口臭。
3、牙齿松动
由于牙周组织被破坏,特别是牙槽骨被吸收加重时,支持牙齿力量不足,出现牙齿松动、移位等现象。患者常感咬合无力、钝痛,牙龈出血和口臭加重。
4、牙龈退缩
由于牙石的刺激和牙周袋形成,牙龈退缩,牙根暴露。
单纯性牙周炎可发生在单一的牙,也可发生在多个牙,甚至全口牙,其病程分为以下几个阶段。
1、牙龈炎
牙龈炎是牙周炎的最初阶段。牙龈缘和牙龈乳头水肿肥大,或牙龈表面上皮出现组织松软,牙龈颜色变为深红色,刷牙或咬硬食物时牙龈出血,严重时会发生自发性出血或睡眠时牙龈出血。
2、牙周袋形成
牙周袋形成是牙周病最主要临床表现之一。正常牙与牙龈之间也有龈沟,通常是以2mm作为正常龈沟的深度,超过这个深度就是牙周袋的形成。
3、牙槽骨吸收
牙槽骨吸收是牙周炎的主要症状。随着牙槽骨的不断吸收,牙松动移位,最后脱落。牙周炎的牙槽骨吸收最初是由牙槽嵴顶部开始,表现为牙槽嵴顶部的尖端变平,然后吸收逐渐向根部发展。有时牙槽骨吸收呈凹坑状,这种吸收是在牙槽嵴顶部吸收后垂直向深部发展,牙的唇颊侧及舌腭侧骨板暂时不波及。
1、根分叉病变
指病变波及多根牙的根分叉区,可发生于患者的多根牙。
2、牙周-牙髓联合病变
单纯性牙周炎和牙髓炎都是细菌感染性疾病,牙周组织与牙髓组织之间有一定相通途径,一些细菌和毒素科通过牙周-牙髓之间的交通途径互相渗透,可导致牙周-牙髓联合病变的发生。
3、牙周脓肿
牙周脓肿是单纯性牙周炎发展到中、晚期出现深牙周袋后的一个常见的伴发症状。
4、牙龈退缩
退缩指的是牙龈缘位置向根方的改变,退缩的牙龈组织可以有炎症,也可以健康而无炎症,牙龈退缩的发生率随年龄增大而升高,可由本病引起。
5、牙根敏感症
牙根敏感症主要是指牙本质暴露部分受到机械的(刷牙、咬硬物等)、温度的或甜酸等食物的刺激时,引起的一过性牙齿异常酸软疼痛的感觉。本病患者易引起牙根敏感症。
检查
当患者出现牙龈发红及水肿、牙周袋形成、牙齿松动等症状时,应及时就医。医生首先选择体格检查、牙周探诊、X线检查,还可能选择血常规等血液学检查评估血液系统疾病。
医生主要观察牙龈部位是否存在充血、肿胀、溃疡或其他异常,并使用器械探查是否有出血、脓液、感染等,还可能检查患者的咬合关系是否正常。检查时可见龈缘、龈乳头和附着龈肿胀、质松软,呈深红色或暗红色。牙周探诊可见牙龈出血,探针测牙周袋深度在3mm以上。
血常规等血液学检查可帮助医生评估患者是否患有血小板减少、凝血因子不足等可引起牙龈出血的血液系统疾病,还可通过白细胞水平判断患者是否存在感染。
医生通常通过口腔X线观察牙槽骨损害情况,判断疾病的波及范围和严重程度。
诊断
根据患者的主要临床表现,结合口腔局部刺激病史、辅助检查结果可做出明确诊断。患者牙石、不良修复体等经历对诊断有帮助,单纯性牙周炎需要和有牙龈出血等相似症状的疾病进行鉴别,如牙龈炎、牙槽脓肿和血液相关性疾病等。
1、牙龈炎
牙龈炎龈沟的探诊深度可达3mm以上,形成假性牙周袋,但无附着丧失。这是鉴别牙龈炎和牙周炎的重要指征。
2、牙槽脓肿
牙周炎和牙槽脓肿都可有牙周溢脓的表现。牙周炎分泌物引流或排出不畅时常在坏牙的颊或舌侧形成牙周脓肿,肿胀中心靠近龈缘易从牙周袋引流,可与牙槽脓肿鉴别。
3、血液相关性疾病
边缘性牙龈炎一般不是自发性的出血。血液系统疾病可引起牙龈出血,一般进行相关的血液学检查可进行鉴别。
治疗
治疗目标是彻底清除菌斑、牙石等病原刺激物,消除牙龈炎症,可以通过全身或局部使用抗生素杀灭细菌,同时通过手术治疗修复牙齿等组织的缺损,去除可能引起牙周炎的因素。养成刷牙、饭后漱口等习惯对牙周炎的治疗及预防复发有帮助。
如果牙周炎导致了急性牙周脓肿,可以选择切开引流脓液。
1、龋病、不良修复体、牙石等因素可能会有利于菌斑滞留,应及时通过龈上洁治、龈下刮治术等去除这些因素。龋洞应填补,去除不良修复体以及牙石。
2、患者要坚持用正确的方式刷牙,饭后去除食物残留,保持口腔卫生。
1、抗生素
抗生素主要用于消灭致病菌,可以选择全身用药或局部用药。局部用药可以选择米诺环素凝胶、醋酸氯已定溶液等,直接杀灭病变区域的致病菌。全身用药选择较多,如甲硝唑、阿莫西林、红霉素、四环素等,这些药物应在医生的指导下使用,不要私自乱用,使用药物前要注意患者是否存在药物过敏。
2、非甾体抗炎药
如对乙酰氨基酚、布洛芬等,主要用于缓解患者的疼痛症状。可出现恶心、呕吐等不良反应。
米诺环素凝胶、醋酸氯已定溶液、甲硝唑、阿莫西林、红霉素、四环素、对乙酰氨基酚、布洛芬
在病情比较严重,无法通过单纯基础治疗解决的情况下,需借助手术治疗。
1、牙周翻瓣手术
翻开牙龈,暴露出牙根和牙槽骨,进行牙龈下清洁同时可以平整牙根,也可以修整牙槽骨。
2、软组织移植
将其他部位的组织移植到牙龈组织受损的位置,遮盖住暴露的牙根,起到美观的作用。
3、植骨
可以用骨移植或骨替代品修复受损的牙槽骨,可以选择自体骨、他人捐献的骨、人造骨或是动物骨。
4、引导组织再生术
医生通过手术在牙齿与牙槽骨之间放置一种特殊材料,帮助牙周膜、牙槽骨再生。
5、使用组织刺激蛋白
一些蛋白可以促进骨组织及其他组织生长,可以将包含这些物质的软膏涂抹在病变的牙根出。
6、拔牙及牙种植术
对于功能丧失、无保留意义的牙齿,可以手术拔除。牙体缺失后,可在适当的时间将人工牙植入,可以填补牙齿的缺失,同时恢复咀嚼等功能。
还可选择松动牙固定术,有些重症患牙的松动严重,影响功能,可用牙周夹板将患牙与其相邻的稳固牙齿连接在一起,分散和减少患牙承受的咬合力,以改善咀嚼功能并有利于牙周组织的修复。
治疗周期不确定,受病情严重程度、治疗方案、治疗时机、年龄体质等因素影响,存在个体差异。
治疗费用可存在明显个体差异,具体费用与所选的医院、治疗方案 、医保政策等有关。
预后
通常多数患者经过积极的治疗,预后较好,病情可以得到控制,基本恢复正常生活。但也有少数患者疗效差,可能导致失牙。
1、本病会影响患者的正常进食,并且部分患者会有口腔异味等症状,影响正常生活。
2、如不积极治疗,可能导致牙齿丧失。
通常患者经过积极治疗可以治愈,症状得到缓解,基本恢复正常饮食。
日常
患者在生活中需要格外注意保持口腔卫生,按照正确的方式刷牙,使用有杀菌功能的漱口液等。香烟和酒精会对口腔有刺激作用,应戒烟限酒。刺激性的食物也要少吃。注意术后的护理,出现异常情况及时就医。
1、手术部位在拆线前不宜刷牙,漱口水可以起到预防感染的作用。
2、进食时避免使用手术部位咀嚼。
3、拆线后注意使用软毛牙刷进行清洁护理。
4、术后当日可冰敷以减轻疼痛和出血,必要时遵医嘱使用抗生素和止痛药。
1、遵医嘱使用有杀菌功效的漱口液,保持口腔清洁,避免继发性感染。
2、适当锻炼,增强体质,提高抵抗力。
3、戒烟戒酒。
1、手术患者根据医生的安排定期复诊。
2、患者可定期检查口腔情况,及时去除牙石等因素。
饮食
患者无需食用特殊的食物,以避免刺激牙周、口腔为主,多选择易咀嚼的食物。多吃蔬菜、水果等食物有利于身体健康,温度过高、过低的食物、辛辣刺激的食物都要谨慎食用。
1、吃富含维生素C的食物。
2、多吃蔬菜、水果、坚果等健康食物。
3、以易咀嚼的食物为主。
1、不吃辛辣刺激性食物。
2、不吃过冷过热的食物。
3、少吃含骨、带壳海鲜等坚硬食物。
4、戒烟戒酒,烟雾和酒精中的成分对口腔有刺激作用,会导致病情恶化。同时酒精还可能影响某些药物的疗效。
预防
日常生活中注意做好口腔卫生,定期进行口腔健康检查,可有效降低单纯性牙周炎的发生风险。
1、加强口腔卫生
(1)饭后、睡前要刷牙、漱口,彻底清洁牙齿和牙龈上的残留物,必要时可配合使用牙线。
(2)遵医嘱选用有杀菌剂成分的漱口液。
(3)可规律去医院洗牙,去除牙菌斑,避免发病风险。
(4)出现任何口腔不适及时去正规医院诊治
(5)戒烟戒酒,避免香烟、酒精对口腔和身体的侵害。
2、增强体质
(1)均衡饮食,补充足够的维生素和矿物质,多吃新鲜水果、蔬菜、坚果。
(2)适当运动,增强体质,提高抵抗力。
(3)规律作息,避免熬夜。
(4)避免焦虑、抑郁等负面情绪。
就医指南
1、出现牙龈与牙齿之间溢脓、口腔异味等症状;
2、伴有牙齿松动、咀嚼无力等症状;
3、伴有牙龈出血、牙龈变色等症状;
4、反复的牙齿疼痛;
5、出现其它严重、持续或进展性症状体征。
以上均需及时就医咨询。
当出现牙龈红肿、疼痛、牙齿松动等情况时应去口腔科就诊。
1、患者在就诊前注意清洁口腔,保持口腔卫生。
2、患者在检查前几天尽量清淡饮食,不要吃对牙齿有刺激的食物,如过冷、过硬、过酸、过甜的食物或碳酸饮料。
3、提前预约挂号,并携带身份证、医保卡、就医卡等。
4、若近期有就诊经历,请携带相关病历、检查报告、化验单等。
5、近期若服用一些药物来缓解症状,可携带药盒。
6、可安排家属陪同就医。
7、患者可提前准备想要咨询的问题清单。
1、您是什么时候出现的不适?随着时间的推移有加重吗?
2、您是否有牙齿松动、牙痛、牙龈出血等症状?
3、您在出现这些症状前受过外伤吗?
4、您既往出现过类似的症状吗?是如何引起的?
5、您既往有过牙龈炎、龋齿、牙周炎等疾病吗?
6、您平时的口腔卫生情况怎么样?会每天按时刷牙吗?
7、您会定期去医院检查口腔健康情况吗吗?
1、我为什么会出现这些症状?最可能的原因是什么?
2、我的症状严重吗?需要做哪些检查?
3、我现在需要用怎样的手段治疗?能治愈吗?
4、这些治疗方法对我有什么风险吗?
5、我还有其他疾病,这会影响我的治疗吗?
6、回家后我应该注意什么?
7、如果需要吃药治疗,药物的用法用量、注意事项是什么?
8、我需要复查吗?多久一次?
.2f2b330.png)