牙列拥挤
本词条由
国家中医药管理局名词术语成果转化与规范推广项目
审核认证
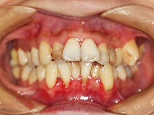
牙列拥挤(crowding of dentition)是指牙在牙弓上的位置或间隙不足,不能排列成一规则的正常弧形,而彼此呈重叠错位的现象。牙列拥挤是最为常见的一种错(牙合)畸形,几乎各种类型的错(牙合)畸形中均会有不同程度的牙列拥挤存在。
英文名称
主要病因
常见症状
检查项目
发病部位
就诊科室
流行病学
症状
1、多发于前牙部位,但也见于后牙部位。
2、表现为唇舌向、近远中向、高低位等各个方面的错位,后牙部位拥挤可造成后牙反(牙合)、锁(牙合)。
3、牙列拥挤破坏了牙弓的正常形态,导致上下牙列咬合紊乱而影响正常口腔功能。妨碍局部牙齿的清洁,好发龋齿、牙周病。严重者由于不良(牙合)关系的长期存在,可能引起颞下颌关节紊乱病。
原因
1、遗传因素,导致牙量较大而骨量不足,形成牙列拥挤。
2、当乳、恒牙交替时,乳牙早失或滞留,形成牙列拥挤。
3、多生牙未及时拔除,影响恒牙在正常位置上的萌出而拥挤。
4、牙齿过大而颌骨相对过小,可出现个别牙或多数牙齿拥挤转位,重叠、唇向位或舌向位。
错(牙合)畸形、幼儿乳恒牙替换障碍等。
就医
1、牙齿因间隙不足而排列错乱。
2、上下牙咬合关系紊乱。
3、影响面部外观,或影响咀嚼进食功能等。
4、合并其它口腔问题,如龋齿、牙周炎等。
1、牙列拥挤的患者,建议到口腔科进行相关的诊疗措施。
2、医疗条件允许的情况下,患者可在整形外科就医治疗。
患者可根据自己的实际情况,选择就诊科室。
1、提前预约挂号,并携带身份证、医保卡、就医卡等。
2、牙列拥挤的患者,一般都会进行口腔的检查,建议患者保持口腔清洁。
3、患者若近期有就诊经历,请携带相关病历、检查报告、化验单等。
4、年老体弱、未成年的患者,建议家属陪同就医。
5、患者可提前准备想要咨询的问题清单。
为了保证就医过程更加的顺利,患者提前做好上述准备。
1、您除了牙齿长的比较拥挤外,平时有出现一些其他口腔相关的症状吗?
2、您小时候换牙的时候,有没有出现一些异常的情况呢?
3、平时口腔习惯怎么样?有没有吮指、张口呼吸等不好的习惯呢?
4、您家人亲属的牙齿都怎么样?有和您类似的情况吗?
5、您之间有做过牙齿矫正吗?有没有做过口腔相关的手术呢?
6、是否患有什么基础病?
7、都在吃什么药?现在有在吃阿司匹林等抗血小板药物吗?
8、是否有过敏史?是否对某些金属过敏?
9、(女性)是否处于月经期、妊娠期、哺乳期?
1、我牙长的这么拥挤是为什么呢?
2、我需不需要做检查呢?一般都会做哪些检查呢?
3、会用什么方法来矫正我的牙齿呢?需要拔牙吗?
4、矫正容易吗?效果如何?自然吗?
5、矫正牙齿对我的口腔有没有其他的影响呢?
6、矫正的话大概需要多久呢?
7、我在平时生活中哪些方面需要注意呢?
8、我后期需要复查吗?大概多久复查一次呢?都会复查哪些项目呢?
检查
1、医生通常进行口腔、面部的检查,判断牙齿排列情况,是否有牙齿不齐或牙齿错位等情况。
2、医生通过模型测量可以确定牙列的拥挤程度。一般会测两项指标:牙弓的必需间隙和可用间隙。
诊断
根据患者的病史、症状及体征,结合相关检查即可明确诊断,询问病史时会询问患者换牙时等具体情况,以及既往有无口腔或牙齿疾病。医生通过初步的观察判断牙列拥挤,在通过测量等做出详细的诊断。
1、牙列拥挤根据其严重程度分为三度
(1)轻度拥挤(l度拥挤)
牙弓中存在4mm以内的拥挤。
(2)中度拥挤(Ⅱ度拥挤)
牙弓拥挤在4~8mm之间。
(3)重度拥挤(Ⅲ度拥挤)
牙弓拥挤超过8mm。
2、牙列拥挤程度分析
牙弓必需间隙与牙弓可用间隙之差就是牙列的拥挤度。
错(牙合)畸形
错(牙合)畸形俗称牙列不齐,是指儿童生长发育期间因遗传因素、后天环境因素或口腔不良习惯所致的牙齿排列不齐、牙弓间、颌骨间位置异常,以及牙颌与颅面间关系不调等,如牙列不齐,(牙合)关系异常,上下颌骨位置形态大小异常等,会引起口腔功能失调及颜面美观的缺陷。
治疗
1、牙列拥挤的早期矫治
(1)间隙保持
目的是为了防止在乳、恒牙替换过程中,由于乳牙早失或恒牙替换顺序异常引起的牙弓有效间隙的丧失,从而保证牙颌正常发育,预防牙列拥挤等错耠畸形的发生。间隙保持器的种类有:
①半固定式间隙保持器:全冠丝圈式间隙保持器,带环丝圈式间隙保持器。
②固定式间隙保持器:舌弓式间隙保持器,Nance腭弓间隙保持器。
③活动式间隙保持器。
(2)间隙的扩大
①活动矫治器扩大间隙:弹簧式间隙扩大矫治器,分裂基托型间隙扩大器,螺旋扩大式矫治器和弹弓型间隙扩大器。
②附有弹簧的舌弓固定式扩大矫治器。
(3)系列拔牙
①除乳尖牙:当侧切牙葫[出严重拥挤,通过拔除乳尖牙,使侧切牙利用乳尖牙的间隙调整到正常位置。
②拔除第一乳磨牙:促进第一前磨牙尽快萌出。
③拔除第一前磨牙:让尖牙萌出到第一前磨牙的位置上。
2、牙列拥挤的恒牙期矫治
(1)轻度拥挤
可采用开拓间隙的方法:
①推磨牙向后。
②扩大牙弓。
③减径矫治。
(2)中度和重度拥挤
一般采用减数拔牙配合矫治器矫治:
①带有双曲唇 弓、纵簧、舌簧和(牙合)垫的活动矫治器。
②方丝弓、Begg细丝弓矫治器。
预后
日常
1、保持口腔卫生,注意刷牙、饭后漱口。
2、术后以流食为主,得到医生许可再恢复正常饮食,仍要注意不要咀嚼坚硬食物。
3、多吃豆制品,多喝牛奶有助于牙齿健康,同时注意多吃新鲜蔬菜、水果以及鱼类等食物,帮助身体恢复。
4、生活中注意安全,避免牙齿损伤。
.2f2b330.png)