肺痈

肺痈,中医病证名。是肺叶生疮,形成脓疡的一种病证,属内痈之一。临床以咳嗽、胸痛、发热、咯吐腥臭浊痰,甚则脓血相兼为主要特征。根据肺痈的临床表现,与西医学所称肺脓肿基本相同。其他如化脓性肺炎、肺坏疽及支气管扩张、支气管囊肿、肺结核空洞等伴化脓感染而表现肺痈证候者,亦可参考本篇辨证施治。本病由感受外邪,内犯于肺,或痰热素盛,蒸灼肺脏,以致热壅血瘀,蕴酿成痈,血败肉腐化脓。治疗当以祛邪为原则,采用清热解毒、化瘀排脓的治法,脓未成应着重清肺消痈,脓已成需排脓解毒。
英文名称
相关中医疾病
就诊科室
发病部位
常见症状
主要病因
病因
本病由感受外邪,内犯于肺,或痰热素盛,蒸灼肺脏,以致热壅血瘀,蕴酿成痈,血败肉腐化脓。
1、感受外邪
多为风热外邪自口鼻或皮毛侵犯于肺所致,或因风寒袭肺,未得及时表散,内蕴不解,郁而化热,致使邪热郁肺,蒸液成痰,邪阻肺络,血滞为瘀,而致痰热与瘀血互结,蕴酿成痈。
2、痰热素盛
平素嗜酒太过或嗜食辛辣厚味,酿湿蒸痰化热,熏灼于肺;或肺脏宿有痰热,或他脏痰浊瘀结日久,上干于肺,形成肺痈。若宿有痰热蕴肺,复加外感风热,内外合邪,则更易引发本病。
3、内外合邪
如宿有痰热蕴肺,复加外感风热,内外合邪,则更易引发本病。尤其是劳累过度,正气虚弱,则卫外不固,外邪容易侵袭,而原有内伏之痰热郁蒸,是致病的重要内因。
症状
临床以咳嗽、胸痛、发热、咯吐腥臭浊痰,甚则脓血相兼为主要特征。
检查
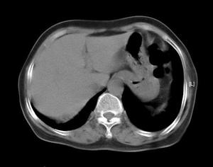
血液白细胞计数及中性粒细胞均显著增加。痰液涂片革兰染色检查,痰培养有助于确定病原体。如为血源性肺脓肿,血培养可发现致病菌。胸部X线检查可见肺野大片浓密阴影其中有脓腔及液平面,或见两肺多发性小脓肿。
诊断
1、临表表现
发病多急,常突然寒战高热,咳嗽胸痛,咯吐黏浊痰,经旬日左右,咯吐大量腥臭脓痰,或脓血相兼,身热遂降,症情好转,经数周逐渐恢复。如脓毒不净,持续咳嗽,略吐脓血臭痰,低烧,消痩,则为转成慢性。
2、验痰法
如肺痈病人咳吐的脓血浊痰腥臭,吐在水中,沉者是痈脓,浮者是痰。
3、验口味
肺痈病人吃生黄豆或生豆汁不觉其腥。
4、体征
可见舌下生细粒。迁延之慢性患者,还可见指甲而带弯,指端形如鼓槌。脓肿接近胸壁部位者,叩诊可呈浊音,听诊呼吸音减弱,或闻及湿啰音。
1、临表表现
发病多急,常突然寒战高热,咳嗽胸痛,咯吐黏浊痰,经旬日左右,咯吐大量腥臭脓痰,或脓血相兼,身热遂降,症情好转,经数周逐渐恢复。如脓毒不净,持续咳嗽,略吐脓血臭痰,低烧,消痩,则为转成慢性。
2、 验痰法
如肺痈病人咳吐的脓血浊痰腥臭,吐在水中,沉者是痈脓,浮者是痰。
3、验口味
肺痈病人吃生黄豆或生豆汁不觉其腥。
4、 体征
可见舌下生细粒。迁延之慢性患者,还可见指甲而带弯,指端形如鼓槌。脓肿接近胸壁部位者,叩诊可呈浊音,听诊呼吸音减弱,或闻及湿啰音。
1、肺痈与痰热蕴肺证
肺系其他疾患表现痰热蕴肺,热伤血络证候时,亦可见发热、咳嗽、胸痛、咳痰带血等 症状,但一般痰热证为气分邪热动血伤络,病情较轻;肺痈则为瘀热蕴结成痈酿脓溃破,病情较重。在病理表现上有血热与血瘀的区别,临床特征亦有不同,前者咳吐黄稠脓痰、量 多,夹有血色;肺痈则咯吐大量腥臭脓血浊痰。
若痰热蕴肺迁延失治,邪热进一步瘀阻肺络,也可发展形成肺痈。
2、肺痈与风温
由于肺痈初期与风温极为类似,故应注意两者之间的区别。风温起病多急,以发热、咳 嗽、烦渴或伴气急胸痛为特征,与肺痈初期颇难鉴别,但肺痈之振寒,略吐池痰明显,喉中有腥味是其特点,特别是风温经正确及时治疗后,多在气分而解,如经一周身热不退,或退 而复升,咯吐浊痰,应进一步考虑肺痈之可能。
治疗
治疗当以祛邪为原则,采用清热解毒、化瘀排脓的治法,脓未成应着重清肺消痈,脓已成需排脓解毒。按照有脓必排的要求,尤以排脓为首要措施。具体处理可根据病程,分阶段施治。初期风热侵犯肺卫,宜清肺散邪;成痈期热壅血瘀,宜清热解毒,化瘀消痈;溃脓期 血败肉腐,宜排脓解毒;恢复期阴伤气耗,宜养阴益气;若久病邪恋正虚者,则应扶正祛邪。
预防
1、凡属肺虚或原有其他慢性疾患,肺卫不固,易感外邪者,当注意寒温适度,起居有节,以防受邪致病;并禁烟酒及辛辣食物,以免燥热伤肺。一旦发病,则当及早治疗,力求在未 成脓前得到消散,或减轻病情。
2、对于肺痈患者的护理,应做到安静卧床休息,每天观察记录体温、脉象的变化和咳嗽情况,以及咳痰的色、质、量、味。注意室温的调节,做好防寒保暖。在溃脓后可根据肺部病 位,予以体位引流。如见大量咯血,应警惕血块阻塞气道,或出现气随血脱的危症,当按 “咯血”采取相应的护理措施。
3、饮食宜清淡,多食蔬菜,忌油腻厚味。高热者可予半流质饮食。多吃水果,如橘子、梨、枇杷、萝卜等,均有润肺生津化痰的作用。每天可用苡米煨粥食之,并取鲜芦根煎汤代茶。