噬血细胞综合征
本词条由
国家中医药管理局名词术语成果转化与规范推广项目
审核认证
噬血细胞综合征(hemophagocytic syndrome,HPS)又称噬血细胞性淋巴组织细胞增多症(HLH),是由感染、肿瘤等多种致病因素导致淋巴细胞、单核细胞和巨噬细胞系统异常激活、增殖,分泌大量炎性细胞因子所引起的过度炎症反应综合征。该病分为原发性和继发性HPS,可以影响各个年龄人群。以持续发热、肝脾肿大、全血细胞减少以及骨髓、肝、脾、淋巴结组织发现噬血现象为主要特征。主要治疗措施为药物治疗。
英文名称
其它名称
疾病分类
遗传性
是否医保
就诊科室
发病部位
常见症状
主要病因
检查项目
重要提醒
临床分类
病因不同,噬血细胞综合征可被分为“原发性”和“继发性”两大类。
1、遗传性或原发性噬血细胞综合征
又称家族性噬血细胞综合征,常染色体隐性遗传。
2、获得性或继发性噬血细胞综合征
(1)感染相关性噬血细胞综合征:多由病毒引起,称为病毒相关噬血细胞综合征,也可由细菌、真菌、原虫(尤其利什曼原虫)等引起。
(2)肿瘤相关性噬血细胞综合征:尤与恶性淋巴瘤相关(LAHS),最多见的淋巴瘤是T/NK细胞淋巴瘤。
(3)巨噬细胞活化综合征:目前认为是HLH的一种特殊类型,见于存在自身免疫性疾病(幼年性类风湿关节炎、系统性红斑狼疮等)的患者。
流行病学
无传染性。
本病年发病率在新生儿约为1/5万。
1、原发性噬血细胞综合征患者大多有阳性家族史,90%以上患者在2岁以内发病,最晚为8岁。
2、获得性噬血细胞综合征可见于各年龄段。
病因
原发性HPS为常染色体或性染色体隐性遗传病,跟多种基因缺陷相关。
继发性HPS是由感染、肿瘤等多种病因启动免疫系统的活化机制所引起的一种反应性疾病,与感染、肿瘤、自身免疫性疾病等多种因素有关。
1、原发性HPS
一种常染色体或性染色体隐性遗传病,分为家族性噬血细胞综合征和免疫缺陷综合征。
(1)家族性噬血细胞综合征:常染色体隐性遗传疾病。共有5个亚型,分别存在不同的基因缺陷。
(2)免疫缺陷综合征相关HPS:主要包括Griscelli综合征2(CS-2)、Chediak-Higashi综合征1(CHS-1)和X性联淋巴组织增生综合征(XLP)。各自有不同的基因改变。
2、继发性HPS
是由感染、肿瘤等多种病因启动免疫系统的活化机制所引起的一种反应性疾病,可见于各年龄段,小儿多由病毒及细菌感染所致,成人常继发于感染、恶性淋巴瘤及自身免疫性疾病等。
(1)感染相关性噬血细胞综合征:包括病毒感染、细菌感染、真菌感染以及原虫感染等。病毒相关性噬血细胞综合征更为常见。儿童多见利什曼原虫感染。
(2)肿瘤相关性噬血细胞综合征:肿瘤相关性噬血细胞综合征可见于淋巴瘤、急性白血病、多发性骨髓瘤、骨髓增生异常综合征、胚胎细胞肿瘤、胸腺瘤、胃癌等。其中淋巴瘤相关噬血细胞综合征是最常见的类型,成人多于儿童。
(3)自身免疫性疾病相关性噬血细胞综合征:多种自身免疫性疾病都可继发噬血细胞综合征,其中以系统性红斑狼疮、成人still病、系统性青年型类风湿关节炎、多发性肌炎、原发性胆汁性肝硬化等较为多见。
(4)合并噬血细胞综合征的其他疾病:先天性代谢异常症合并噬血细胞综合征、(细胞)溶素-尿蛋白不耐受、硫酸酯酶缺陷等。也出现在实体器官移植后。
症状
噬血细胞综合征缺乏特异性的临床表现,最常见的是发热、脾大和因全血细胞减少引起的一系列相应临床症状体征。在获得性噬血细胞综合征患者还合并与原发病相关的临床表现。
本病最常见的表现是发热、肝脾肿大,如神经系统、呼吸系统和消化系统受累,还可有嗜睡、咳嗽、恶心、呕吐等症状, 病情严重者可并发呼吸功能衰竭、心功能衰竭等并发症。
1、发热
几乎所有的噬血细胞综合征患者均会出现发热,通常体温≥38.5℃,持续发热超过一周,且抗感染治疗无效,发热无法用感染或其他疾病原因来解释,而是由于高炎症因子血症所致。
2、脾肿大
可见于80%左右的患者,通常肋下超过3cm,不包含其他可能引起脾脏增大的疾病所导致的脾大,这可能与淋巴细胞及组织细胞浸润有关。
3、感染
噬血细胞综合征患者因机体免疫异常和粒细胞缺乏,也常常伴发细菌、真菌或病毒感染,以呼吸道感染最为常见,其次为血流感染,表现咳嗽、畏寒、寒战等相应的临床症状。
4、贫血和出血
大多数噬血细胞综合征患者存在不同程度的贫血,血小板减少,引起头晕、乏力、皮肤黏膜苍白、瘀点、瘀斑,重者出现脏器功能障碍和内脏出血。
5、中枢神经系统症状
部分患者可出现嗜睡、易激惹、惊厥、脑神经麻痹、共济失调、精神运动性阻滞以及昏迷等。
6、其他
肝脏体积增大,黄疸、多浆膜腔积液、淋巴结肿大、皮疹。在获得性噬血细胞综合征患者还合并与原发病相关的临床表现。
可伴有咳嗽、呼吸困难、恶心、呕吐、腹痛、腹泻等症状。
本病可造成持续性的器官损害,可导致多器官功能衰竭,甚至导致患者死亡。
检查
当患者出现持续发热、皮肤黏膜苍白、头晕、乏力等症状时,应及时就医。医生首先会进行相关的体格检查,之后为明确诊断及了解病情,还可能需要进行血常规、血生化、凝血功能、免疫学检查、脑脊液检查、骨髓检查、病理检查等检查。还可通过X线、CT、MRI等影像学检查了解组织受损情况。必要时可进行基因检查明确病因。
医生会通过视诊检查是否有皮肤、巩膜黄染的情况;通过触诊检查是否有肝脾肿大。
1、血常规
多有全血细胞减少,血小板减少较为明显。
2、血液生化
三酰甘油、血清铁蛋白增高,血清转氨酶、胆红素、LDH、低蛋白血症等肝功能异常较常见。
3、凝血功能
凝血酶原时间延长,血浆纤维蛋白原减低,纤维蛋白降解产物增多。
4、免疫学检查
抗核抗体(ANA)和抗人球蛋白试验(Coombs试验)可呈阳性。
5、脑脊液检查
是有创检查,医生会进行腰椎穿刺取得脑脊液。患者脑脊液细胞数轻到中度增多,主要是淋巴细胞,蛋白也增高。部分患者脑脊液可正常。
6、骨髓检查
是有创检查,医生会使用专业的设备穿刺取出部分骨髓进行检查。早期可表现为正常增生骨髓象,后可有明显的吞噬血细胞现象。
医生可建议患者进行X线、CT及MRI等影像学检查,了解受累组织、器官的情况。为诊断和治疗提供帮助。
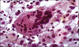
病理检查是有创检查,需要取出受累的组织器官进行检查。显示良性淋巴组织细胞浸润,组织细胞出现吞噬现象,以红细胞被吞噬最多,有时也吞噬血小板和白细胞。
如果怀疑患者是原发性噬血细胞综合征,医生可能建议患者进行基因检查,明确病因。
诊断
当患者出现持续发热、血细胞减少、肝脾肿大或不明原因的严重肝功能损伤时应当怀疑HPS的可能;再结合患者的病史、相关的辅助检查,根据诊断标准,多可得到准确的诊断。
随着研究的不断深入,国际组织细胞学会于2004年修订了新的诊断指标, 即HPS-2004。符合以下两条标准中任何一条时可以诊断HPS。
1、分子诊断符合HPS
在目前已知的HPS相关致病基因,如PRF1,UNC13D,STX11、STXBP2,Rab27a、LYST,SH2D1A,BIRC4,ITK,AP3β1、MAGT1,CD27等发现病理性突变。
2、符合以下8条指标中的5条
(1)发热:持续>7d, 体温大于38.5℃;
(2)脾大;
(3)血细胞减少(累及外周血2系或3系):血红蛋白<90 g/L ,血小板<100×109/ L ,中性粒细胞<1.0×109/L且非骨髓造血功能减低所致;
(4)高三酰甘油血症和/或低纤维蛋白原血症:三酰甘油>3mmol/L 或高于同年龄的3个标准差,纤维蛋白原<1.5g/L 或低于同年龄的3个标准差;
(5)在骨髓、脾脏或淋巴结里找到噬血细胞;
(6)NK(自然杀伤)细胞活性降低或缺如;
(7)铁蛋白≥500μg/ L。
(8)sCD25(可溶性白介素-2受体)升高。
1、急性白血病
肝脾肿大、发热和全血细胞减少与急性白血病症状相似,可以通过骨髓检查明确。
2、朗格汉斯组织细胞增生症
朗格汉斯组织细胞增生症也会出现肝脾肿大、发热和全血细胞减少,需要加以鉴别。朗格汉斯组织细胞增生症主要见于儿童,且易出现皮疹、骨骼破坏以及不同的组织学表现,较易区分。
3、遗传代谢病
婴儿期可有肝脾大、肝功能异常和高三酰甘油血症,但没有进行性全血细胞减少、长期发热等可资鉴别。
治疗
HPS的治疗分为两个方面,一方面是诱导缓解治疗,以控制过度炎症状态为主,达到控制HPS活化进展的目的;另一方面是病因治疗,以纠正潜在的免疫缺陷和控制原发病为主,达到防止HPS复发的目的。主要治疗措施为药物治疗。
1、静脉用丙种球蛋白
其作用机制在于抑制巨噬细胞Fc受体,减少吞噬血细胞作用,多用于感染相关HPS。
2、皮质类固醇
可抑制T细胞产生细胞因子,还可抑制IL-1,IL-2,TNF-α,IFN-γ,粒细胞集落刺激因子,IL-2R等细胞因子的基因转录。常用地塞米松。
3、环孢素(CsA)
环孢素对T淋巴细胞活化起抑制作用。可用于治疗HPS。
4、依托泊苷(VP-16)
对单核细胞和组织细胞有作用,20世纪80年代开始用于HPS的治疗,在遗传性和EBV相关的HPS等重症病例中是治疗的关键药物之一。
5、其他免疫调节措施
抗胸腺细胞球蛋白(ATG)联合糖皮质激素和CsA能成功诱导HPS缓解。
6、细胞毒药物
对于症状严重、病情进展快的患者,可考虑给予CHOP(环磷酰胺、阿霉素、长春新碱、泼尼松)等方案化疗。
7、单克隆抗体
部分单克隆抗体可用于HPS的治疗。比如达利珠单抗、英夫利昔单抗、利妥昔单抗等。
8、抗生素
如果患者发生感染,可根据患者病情选择适当的抗生素进行治疗。
丙种球蛋白、地塞米松、环孢素、依托泊苷、抗胸腺细胞球蛋白、环磷酰胺、阿霉素、长春新碱、泼尼松、达利珠单抗、英夫利昔单抗、利妥昔单抗
本病通常不需要进行手术治疗,如果患者存在需要进行手术治疗的症状,可在保证生命安全、病情平稳的情况下进行手术治疗。
1、造血干细胞移植(HSCT)
HPS治疗的长期策略是纠正免疫缺陷,而对于原发性HPS患者,必须进行HSCT来纠正潜在的基因缺陷,一旦确证存在原发HPS,应尽可能早期进行HSCT。医生会根据患者的病情,与患者和家属共同协商,决定适当的治疗方案。
2、血液置换
全血或血浆置换也可清除血液中的免疫抑制物。
3、输血治疗
HLH患者由于严重的血小板减少和凝血功能异常,自发性出血的风险很高。对于急性出血患者应输注血小板、新鲜冰冻血浆、凝血酶原复合物。
受病情严重程度、治疗方案、治疗时机、年龄体质等因素影响而有所不同,可存在个体差异。
治疗费用可存在明显个体差异,具体费用与所选的医院、治疗方案 、医保政策等有关。
预后
HPS症状凶险,表现错综复杂,缺乏特异性,预后多不良。家族性HS病程短、预后差,只有通过异基因造血干细胞移植才可能治愈。由细菌感染引起者预后相对较好,而EB病毒感染所致者预后较差,肿瘤相关性噬血细胞综合征死亡率几乎为100%,主要死亡原因有出血、感染、多脏器衰竭和弥散性血管内凝血。
本病起病急、病情进展迅速,死亡率高。
与患者的病情以及治疗措施有关。通过异基因造血干细胞移植的患者症状可得到控制,部分患者预后较好,部分患者死亡率高。
日常
日常在用药时应谨遵医嘱,注意观察药物的不良反应;注意休息与保暖,适当进行户外活动,尽量不要前往人多密集的场合;恢复一段时间后,应遵医嘱进行复查,及时了解病情变化。
药物按时按量服用药物,指导家长会观察药物的不良反应,一旦异常立即就诊。
1、注意休息,保证充足的睡眠。
2、适量户外活动,增强抗病能力,但要避免劳累。
3、尽量少去人多的公共场所。
4、防寒保暖,避免受凉,预防感冒。
遵医嘱定期复查,及时了解病情变化;如有新的病情变化,应及时到医院复查,并采取相应的诊疗措施。
饮食
均衡饮食,提供身体所需营养。年龄较小的患者注意合理饮食,及时添加辅食。
1、注意饮食卫生,进餐前后要洗手。
2、膳食结构均衡,少食多餐,多食含钙量高的食物,如牛奶。
3、保证蛋白质的摄入。
4、多吃新鲜蔬菜水果。
1、避免生冷、辛辣刺激性的食物。
2、避免暴饮暴食或过度节食。
3、不吃过期、变质的食物。
预防
本病目前尚无有效疫苗,可通过以下方式降低发病可能。
1、有家族史的人群应做好产前检查,孕期注意避免放射线照射、服不明药物等行为,以免产下患病婴儿。
2、出现感染、肿瘤、自身免疫性疾病时及时治疗,以免病情进展。
3、适当运动,均衡饮食,规律作息,洁身自好,尽可能避免感染性疾病的发生。
就医指南
1、持续高热、无法缓解;
2、昏迷、意识障碍;
3、出现其它危急情况。
以上均须紧急处理,及时前往急诊科,必要时拨打急救电话。
1、持续发热、皮肤黏膜苍白、乏力;
2、腹泻、腹痛;
3、全身多发皮疹;
4、出现其它严重、持续或进展性症状体征。
以上均须及时就医咨询。
1、如出现上述紧急情况,应及时到急诊科就诊;
2、如症状较轻,则可前往血液科就诊;
3、患儿应前往小儿科就诊。
1、提前预约挂号,并携带身份证、医保卡、就医卡等。
2、可能会进行抽血检查,在早晨空腹进行就诊最好。
3、若近期有就诊经历,请携带相关病历、检查报告、化验单等。
4、近期若服用一些药物来缓解症状,可携带药盒。
5、可安排家属陪同就医。
6、患者可提前准备想要咨询的问题清单。
1、您目前都有哪些不适?
2、您出现这种情况多久了?
3、您的症状是持续存在还是间歇性发作的?有什么规律吗?
4、自从您发病以来,症状有没有加重或减轻?有什么原因吗?
5、您以前有没有出现过类似的症状?
6、您之前治疗过吗?是如何治疗的?效果如何?
7、您有在服用什么药物吗?
8、你有被诊断患有肿瘤性疾病吗?
9、您家里有人有类似的情况吗?
1、我的疾病严重吗?
2、我为什么会出现这种情况?
3、我需要如何治疗?需要住院吗?多久能好?
4、这些治疗方法有什么风险吗?
5、如果吃药治疗,药物的用法用量、注意事项是什么?
6、我需要做什么检查?这些检查在医保报销范围内吗?
7、我还有其他疾病,这会影响我的治疗吗?
8、我的病会遗传吗?
9、回家后我该怎么护理?
10、我需要复查吗?多久一次?
.2f2b330.png)