肺吸虫病
本词条由
国家中医药管理局名词术语成果转化与规范推广项目
审核认证
肺吸虫病(lung fluke disease)又称并殖吸虫病,是并殖吸虫寄生于人体各脏器所致的一种慢性人畜共患寄生虫病。由于虫种、寄生部位、发育阶段和宿主反应性不同,临床表现差异较大。卫氏并殖吸虫寄生于肺部常表现为咳嗽、胸痛、咳铁锈色痰等;寄生于脑、脊髓、腹腔、肠、肾、皮下等组织可以引起相应脏器受损症状。斯氏狸殖吸虫也称四川并殖吸虫同样可寄生于上述器官或组织,但不能发育成熟,其童虫、幼虫在体内移行可引起一系列过敏反应和皮下游走性包块,而肺部症状轻微;包块内无成虫,痰中也无虫卵。
英文名称
其它名称
相关中医疾病
遗传性
是否医保
就诊科室
发病部位
常见症状
主要病因
检查项目
重要提醒
流行病学
有传染性。
患者、病兽及病畜是主要传染源。
主要为经口传播。因生食或半生食(如腌吃、醉吃或烤吃)含囊蚴的蟹或蝲蛄是人体感染的主要方式。也可因蟹换壳或死亡时囊蚴坠入水中,饮用含囊蚴的生水而感染。进食含活囊蚴的转续宿主的肉也可被感染。
人群普遍易感,儿童与青少年感染率较高。学龄儿童可能因接触溪蟹或蝲蛄等机会较多而患病者较多。
本病流行于全世界,主要分布于亚洲、美洲,包括中国、朝鲜、日本、菲律宾、美国、加拿大、墨西哥、巴西等国家。我国有24个省(自治区、直辖市)农村有病例报道,如江苏、浙江、福建、广东、广西、江西、贵州、河南、湖北、湖南、四川、吉林、辽宁、黑龙江、陕西、安徽、甘肃、山东、台湾、山西、云南及上海等。浙江与东北以卫氏并殖吸虫病为主,四川、云南、江西等地以四川并殖吸虫病较多。主要分布在直接捕食溪蟹的地区。
夏秋季感染为主;喜食醉蟹的地区四季均可发病。
病因
本病为感染并殖吸虫所致,其可经口进行传播。并殖吸虫侵入人体后,成虫定居、蚴虫游走及虫卵均可造成机械性损伤,虫体代谢产物等抗原物质可造成机体的免疫病理反应。
1、并殖吸虫的种类
该病由感染并殖吸虫引起,世界已知并殖吸虫超过50种,其中分布在亚洲最多,达31种。我国已发现28种(含同物异名的种),9种有致病性。在亚洲对人致病的有卫氏、斯氏(四川)、会同、异盘、团山、宫崎、肺生、太平等虫种,还有卫氏并殖吸虫四川变种和伊春变种。其中以卫氏与四川并殖吸虫分布较广泛,感染人数最多,也是我国最重要的致病虫种。
2、发病机制
成虫定居、蚴虫游走及虫卵均可造成机械性损伤,虫体代谢产物等抗原物质可造成机体的免疫病理反应。
(1)童虫引起的病变
囊蚴被吞食后,在小肠上部脱囊,尾蚴随即穿过肠壁进入腹腔脏器间移行,发育为童虫。虫体伸缩活动力强,具有分泌酸性、碱性物质的腺体,可引起机体免疫反应,破坏组织。尾蚴穿过部位肠黏膜、肠壁浆膜及腹膜的炎症与出血,可导致器官组织广泛纤维素性炎症和粘连,并伴有混浊或血性积液,内含大量嗜酸性粒细胞。多数童虫可穿过膈肌游动于胸腔,引起胸膜炎或胸腔积液。童虫进入肺可产生窦道,形成囊肿。四川并殖吸虫童虫在人体内移行造成的损害较卫氏并殖吸虫更显著,常在寄生部位形成嗜酸性肉芽肿,幼虫极少进入肺形成囊肿,而以游走性皮下包块与渗出性胸膜炎较为多见,也可有肝脏、脊髓等损害。
(2)成虫引起的病变
成虫导致的病变范围较大,可固定于某一部位,也可游走于多脏器。卫氏并殖吸虫常固定于肺,或沿疏松组织游走,使病变波及多个脏器。虫体沿颈内动脉经破裂孔进入颅内,侵犯脑组织。产生相互沟通的囊肿,其周围因纤维包膜形成和神经胶质细胞增生形成结节状肿块。虫体多侵犯脑基底结、内囊和视丘,也可侵入侧脑室引起偏瘫或脑疝。
(3)虫卵引起的病变
卵可见于囊肿间的隧道内以及成虫穿行经过的各种组织中。虫卵引起组织反应轻微,虫卵结节无明显坏死,属于机械性或异物刺激型肉芽肿反应。
症状
本病表现复杂多样,起病多缓慢。潜伏期可短至数日,也可长达10年以上,多为3~6个月。发病后可表现为发热、腹痛、腹泻、黏液脓血便、胸痛、咳嗽、皮下包块等,如侵蚀脑组织,甚至可引起偏瘫、瘫痪、失语和偏盲。
1、急性并殖吸虫病
起病急骤,全身症状明显。病初表现为腹痛、腹泻、稀便或黏液脓血便等。可有食欲减退、低热,部分为弛张热伴畏寒,可反复出现荨麻疹。稍后出现胸痛、胸闷、气短、咳嗽等症状。血白细胞数增高,嗜酸性粒细胞可占20%~40%。
2、慢性并殖吸虫病
早期症状多不明显,发现时已为慢性期。卫氏并殖吸虫病主要表现为咳嗽、胸痛、咯血等呼吸道症状,侵犯脑脊髓、肝脏和皮下可出现肺外相应器官损害的表现。四川并殖吸虫病以游走性皮下结节为主要表现,如侵犯肝脏、心包、眼、脊髓,也可出现相应症状。按被侵及的主要器官可分为下列几型:
(1)胸肺型:最常见。主要由卫氏并殖吸虫感染所致,以咳嗽、胸痛、气短等为主要表现。病初为干咳,继之痰量逐渐增多,咳嗽加剧,痰中可混少量血丝,或为铁锈色或烂桃样血痰。痰中可查见虫卵及夏科-莱登晶体。胸膜受累可岀现渗岀性胸膜炎、胸腔积液、胸膜增厚或胸膜粘连。
(2)腹型:约占30%,多见于感染早期。表现为腹痛、腹泻、恶心、呕吐等症状。腹隐痛为全腹或以右下腹为主。腹泻为黄色或淡黄色稀便,每天2~4次。查体偶可扪及腹部结节与肿块。虫体侵犯肝脏可形成嗜酸性肝脓肿,可出现肝功能异常等。
(3)皮肤型:要为皮下结节或包块。卫氏并殖吸虫病皮肤型占10%,一般不游走;斯氏并殖吸虫病皮肤病型占50%~80%,游走性为主要特点。结节或包块可在腹部、胸部、腰背及四肢的皮下深层肌肉内扪及,直径1~6cm,表面皮肤正常,触之有痒感或疼痛感,活检可查见童虫。
(4)脑脊髓型:多见于儿童卫氏并殖吸虫病。脑型常有颅内压增高,伴颅内占位病变表现,可反复癫痫发作,视、幻觉及肢体感觉异常,或瘫痪、失语、偏盲等。四川并殖吸虫病可表现为蛛网膜下腔出血。脊髓型可有下肢麻木感或刺痛,或肢体瘫痪、大小便失禁等。
(5)其他类型:可出现阴囊肿块,大如鸡蛋或拳头,局部轻微疼痛,肿块内可查见虫卵或成虫。隐性感染者并无明显症状及脏器损害表现(亚临床型),而仅皮内试验或血清学检测阳性,血嗜酸性粒细胞增高。
如治疗不及时,可并发肺脓肿、脑疝、癫痫等。
检查
可能需要做的实验室检查有血常规、痰涂片、粪便检查、脑脊液检查、皮内试验、酶连免疫吸附试验等,影像学检查有X线、CT以及MRI。
1、血常规
急性患者外周血白细胞总数增多,嗜酸性粒细胞比例明显增高,可占30%~40%。
2、病原检查
(1)痰液:卫氏并殖吸虫病患者清晨痰涂片或经10%氢氧化钾溶液消化浓集后,镜检可见虫卵,以及夏科-莱登晶体。
(2)粪便:约15%~40%本病患者粪便中可查见并殖吸虫虫卵。
(3)体液:脑脊液等各种体液可查见并殖吸虫虫卵,嗜酸性粒细胞增高及夏科-莱登晶体。
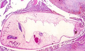
(4)活组织检查:皮下结节或包块病理检查可见并殖吸虫虫卵、童虫或成虫。四川并殖吸虫引起的皮下包块可见典型的嗜酸性肉芽肿。
3、免疫学检查
早期或轻度感染的亚临床型及异位损害病例,常根据特异性免疫学方法诊断。
(1)皮内试验:以1:2000成虫抗原0.1ml注射于前臂皮内,20分钟后皮丘>12mm、红晕>20mm者为阳性反应,阳性率可达95%,常用于现场流行病学调查,简便易行,但与华支睾吸虫、血吸虫等吸虫有部分交叉反应而出现假阳性。
(2)后尾蚴膜试验:痰并殖吸虫卵阳性患者中此试验阳性率较高,特异性较强,具有早期诊断价值,但须注意与其他吸虫有部分交叉反应。
(3)ELISA检测:可采用间接法、双抗体夹心法、斑点法等检测,阳性率达95%以上,特异性较强,可作为诊断参考。有报道,以人ELISA法将噬菌体随机肽库筛选获得的卫氏并殖吸虫模拟抗原表位用于卫氏并殖吸虫病的诊断具有潜在的应用前景。
(4)免疫印渍试验:由凝胶电泳、转移电泳、固相免疫3种方法构成的免疫印渍试验,是分析蛋白抗原和鉴别生物学活性抗原组分的有效方法。是高度特异性、敏感性的诊断方法。
4、其他
脑脊液、胸水、腹水及痰中嗜酸性粒细胞可增高;血沉明显加快。
1、X线胸片
对胸肺型有重要参考价值,早期可见中下肺野大小不等、边缘不清的类圆形炎性浸润影;后期可见囊肿及胸腔积液,可伴胸膜粘连或增厚。
2、CT或MRI
检查可显示胸膜肺、腹部、脑、脊髓等部位病变状态,或阻塞病变部位等。有报道,采用荧光脱氧葡萄糖-阳电子放射体层摄影/计算机扫描(FDG- PET/CT)对肝、肺等并殖吸虫病变的诊断有一定参考意义。
诊断
根据患者的病史、个人饮食习惯、临床症状,以及相关的辅助检查,多可进行诊断,其确诊有赖于病原学的检查。此外,还需注意排查患者是否存在结核病、颅内肿瘤、原发性癫痫等。
1、结核病
肺型并殖吸虫病早期表现与肺结核相似,囊肿期肺部病变与肺结核球相似,并殖吸虫侵犯胸膜引起胸腔积液时又常与结核性胸膜炎相混淆,并殖吸虫侵犯腹膜引起腹腔积液时又相似于结核性腹膜炎。但结核病患者低热、盗汗等症状常较明显,结核菌素试验阳性,胸片显示病变多位于上肺,可见空洞,痰查抗酸杆菌等有助于鉴别。
2、颅内肿瘤
脑型并殖吸虫病可有头痛、呕吐、颈强直等与颅内肿瘤表现相似,并殖吸虫感染史、发热、肺部病变、痰查虫卵以及脑脊液嗜酸性粒细胞与免疫检查等均有助于鉴别。
3、原发性癫痫
脑型并殖吸虫病癫痫发作时与原发性癫痫表现相似,但前者过去无癫痫病史,癫痫发作后头痛及肢体无力等可持续数日,原发性癫痫发作后症状常于数小时内消失。痰查并殖吸虫虫卵、脑脊液免疫学检査阳性等是鉴别诊断的依据。
4、其他疾病
腹型并殖吸虫病出现发热、腹泻、肝肿大等表现,与肝脓肿相似。腹型并殖吸虫病也可出现食欲缺乏、乏力、球蛋白升高、白蛋白与球蛋白比例降低,与病毒性肝炎相似。但并殖吸虫病患者肝区压痛常不眀显,血嗜酸性粒细胞显著升高,肝炎病毒标记物阴性,驱虫治疗后症状、体征及肝功能迅速改善等有助于诊断。此外,个别胸肺型病例可表现为肺部占位病变,应注意与肺癌等相区别。
治疗
对于初入院的患者,应给予相应的对症支持治疗,稳定患者的生命体征,缓解症状;在明确诊断后可进行针对性的病原治疗,常用的药物有吡喹酮、硫氯酚和三氯苯达唑。必要时,则需要进行手术治疗。
颅内高压者使用脱水剂;咳嗽、胸痛者酌情给予镇咳、镇痛剂;癫痫发作可给予苯妥英钠或地西泮(安定)治疗等。
主要为驱虫治疗,常用的药物有吡喹酮、硫氯酚和三氯苯达唑。
1、吡喹酮
对卫氏与四川并殖吸虫病均有良好的疗效,不良反应少而轻,疗程短,服用方便,是目前首选的药物。如果患者对本品过敏,可采用脱敏疗法。
2、硫氯酚
不良反应为腹泻、恶心、呕吐等。可因虫体杀死后释放大量异体蛋白而出现赫氏反应,表现为呼吸急促、烦躁不安、发绀、喉头水肿、血压下降等,应立即停用,并给予肾上腺皮质激素等对症治疗。孕妇慎用。
3、三氯苯达唑
为一种新的苯并咪唑类衍生物,对并殖吸虫有明显杀灭作用。疗效与吡喹酮相似,不良反应轻微。
吡喹酮、硫氯酚、三氯苯达唑
脑脊髓型出现压迫症状,经积极内科治疗无效者可外科手术;皮下包块可手术切除;胸膜粘连明显时可行胸膜剥离术等。
肺吸虫病的治疗周期一般为1-3个月,但受病情严重程度、治疗方案、治疗时机、个人体质等因素影响,可存在个体差异。
治疗费用可存在明显个体差异,具体费用与所选的医院、治疗方案 、医保政策等有关。
预后
预后常因致病虫种、感染轻重及病变部位而异。一般病例预后较好,脑型可导致残疾或死于脑疝。四川并殖吸虫病侵犯脑组织较卫氏并殖吸虫病为轻,较易恢复,后遗症少,预后较好。
病情严重者可导致死亡。
不会自愈,需及时就医治疗。
病情轻者,经积极有效治疗可得到治愈。
绝大多数患者可经合理治疗后治愈。
可彻底治愈。
多数患者不会复发,但可再次感染。
日常
家属应多给予患者关心与支持,帮助患者战胜疾病;用药期间应谨遵医嘱;在家休养期间应注意休息,保持个人卫生,适当进行体育锻炼;恢复一段时间后,应遵医嘱按时复查。
患者常因疾病的不适症状,出现焦虑、不安、烦躁等心理,家属要多关心、安慰患者,缓解不良情绪,鼓励患者正确面对疾病,树立治疗信心,积极配合治疗。
严格遵循医嘱用药,学习药物的用法、用量、疗程和不良反应,不擅自调整药物的用量或停药,一旦出现严重不良反应,及时告知医生调整治疗药物,避免耽误治疗。
1、注意休息,避免劳累,保证充足睡眠,养成良好生活习惯。
2、注意个人卫生,勤洗手,减少疾病传播。
3、适当增加体育锻炼,有助于增强体质,提高机体免疫力。
4、注意天气变化,及时添减衣物,预防感冒。
遵医嘱定期复查,不适随诊。
饮食
合理膳食,可食用一些高热量、高蛋白、高维生素、少渣的清淡、易消化流食,注意保证机体能摄入充足的营养物质。
1、低脂食品,如杂粮粥、荞麦粉、芋头,含淀粉的菜肴,如蒸甘薯、甜玉米、马铃薯等。
2、多吃含锌、镁丰富的食物,如动物肝脏、花生、鱼、蛋、奶等。
3、食物需彻底煮熟。
1、避免生食河鲜、海鲜等。
2、避免食用纤维较多的食品以及产气多的食品,如芹菜、韭菜、黄豆芽、红薯、干豆类。
3、忌酒精和一切辛辣刺激性食品。
预防
1、控制传染源
彻底治疗患者、隐性感染者,以及病猫、病犬等牲畜。调查、管理动物传染源,捕杀对人有害或为保虫宿主(含转续宿主)的动物。不用生溪蟹、生蝲蛄喂猫和犬等,以防动物感染。
2、切断传播途径
应切实做到不吃生的或未煮熟透的溪蟹、蝲蛄等,也不饮用生溪水,不随地吐痰。
3、保护易感者
流行区人群及到深山密林、荒野地区作业或旅行者,要警惕感染此病自然疫源性,应广泛进行本病防治知识的宣传教育,加强粪便和水源管理。
.2f2b330.png)