白睛青蓝

白睛青蓝,中医病名。是指白睛里层深处有暗红蓝色隆起,或围绕黑睛而形成环形状,则整个白睛呈黑紫色,且疼痛、羞明、流泪、拒按的眼病,因白睛色似青蓝,故称白睛青蓝。多因肺热亢盛,肺金乘肝木,肝失条达,肝郁生热,煎熬阴血,气血瘀阻而致。本病多见于成年女性,常双眼同时或先后发病,缠绵数月或数年之久,易复发。最易波及黑睛及瞳神。波及黑睛则出现白膜侵睛之症;波及瞳神则有瞳神紧小、云雾移睛等症。本病与火疳性质相同,治疗可互参,但本病更重,甚至造成失明。本病相当于西医学深层巩膜炎后期乃至形成巩膜葡萄肿。
英文名称
其它名称
相关中医疾病
就诊科室
发病部位
常见症状
主要病因
病因
本病多因肺热亢盛,肺金乘肝木,肝失条达,肝郁生热,煎熬阴血,气血瘀阻而致。
诊断
1、多见于成年女性,常双眼先后或同时患病,病程长,易反复发作。
2、自觉眼珠疼痛,可痛及眉骨、颗部及头部。若影响瞳神,则有明显的畏光流泪及视力减退等症。
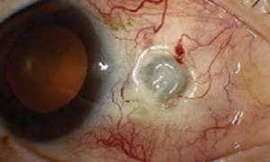
3、白睛深层出现紫红色斑,多位于黑睛边缘,可单个或多个存在,甚至环绕黑睛圈,白睛混赤,触痛明显。
4、病经数周或数月,紫红色斑块逐渐消失,病变处变薄,而遗留青蓝色癜痕。若反复发作,可致白睛广泛性青蓝,终则白睛失去光泽,高低不平,形成葡萄样肿,甚至溃破或穿孔。
5、病变侵及黑睛,可致黑睛深层出现舌状或片状白色混浊,形成白膜侵睛之病。
6、若病变侵及瞳神,可出现瞳神紧小甚或云雾移睛等。
1、多见于成年女性,常双眼先后或同时患病,病程长,易反复发作。
2、自觉眼珠疼痛,可痛及眉骨、颗部及头部。若影响瞳神,则有明显的畏光流泪及视力减退等症。
3、白睛深层出现紫红色斑,多位于黑睛边缘,可单个或多个存在,甚至环绕黑睛圈,白睛混赤,触痛明显。
4、病经数周或数月,紫红色斑块逐渐消失,病变处变薄,而遗留青蓝色癜痕。若反复发作,可致白睛广泛性青蓝,终则白睛失去光泽,高低不平,形成葡萄样肿,甚至溃破或穿孔。
5、病变侵及黑睛,可致黑睛深层出现舌状或片状白色混浊,形成白膜侵睛之病。
6、若病变侵及瞳神,可出现瞳神紧小甚或云雾移睛等。
1、火疳
火疳可为白睛青蓝的原发病,病情重,患眼疼痛,畏光流泪,紫红色隆起触痛拒按。
2、白膜侵睛、瞳神紧小、云雾移睛
为本病之白膜已侵及黑睛及瞳神,影响视力者。
治疗
1、滴滴眼液
可选用清热解毒滴眼液,或糖皮质激素类滴眼液如0.025%地塞米松滴眼液或1%醋酸泼尼松滴眼液。若并发瞳神紧小者,须及时滴1%硫酸阿托品滴眼液或眼膏散瞳。
2、局部热敷
可用内服药渣再煎水湿热敷,对减轻眼部症状、促进气血流畅、缩短病程有辅助作用。
预防
1、宜少食辛辣指品,以免热助化火,伤阴耗液,不利康复。
2、保持七情和畅,按时用药。
3、注意寒暖适中,避免潮湿。