白膜侵睛

白膜侵睛,中医病名。是指因肺火上炎,或阴虚火旺所致,以白色翳膜自白睛侵入黑睛为主要表现的翳病类疾病。又称白膜蔽睛、白膜遮睛等。多因肺肝热毒,风湿热邪,阴虚邪恋所致。多是白睛青蓝、火疳等病后遗而成,也可与之同时存在。病变可使整黑睛均被波及,并因并发瞳神紧小等病变而致严重后果。本病相当于西医学的硬化性角膜炎。
英文名称
其它名称
相关中医疾病
就诊科室
发病部位
常见症状
主要病因
流行病学
好发人群
青年女性
病因
基本病因
多因肺肝热毒,风湿热邪,阴虚邪恋而致或肺经风热或肝火上攻。
诊断
诊断原则
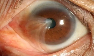
1、青年女性多见,常单眼发病,亦可侵及双眼。多先有白睛青蓝、火疳等病。
2、可有畏光、流泪,轻微刺痛等症。
3、黑睛深处之边缘,出现舌状或三角形状的白膜,尖端朝向黑睛中部。如白睛青蓝疳等病反复发作,则白膜逐渐扩大而影响视力。
诊断依据
1、青年女性多见,常单眼发病,亦可侵及双眼。多先有白睛青蓝、火疳等病。
2、可有畏光、流泪,轻微刺痛等症。
3、黑睛深处之边缘,出现舌状或三角形状的白膜,尖端朝向黑睛中部。如白睛青蓝疳等病反复发作,则白膜逐渐扩大而影响视力。
鉴别诊断
1、胬肉攀睛:起于大小眦,赤脉肥厚,状如蝉翼,甚者方逐渐攀及黑睛。
2、火疳:白晴深部向外突起呈暗红色,推之不动,压痛明显,不侵入黑睛,畏光流泪。
治疗
药物治疗
白膜侵睛病一、辨证要点1、辨原发病(1)金疳为原发病,可见金疳颗粒发于黑睛边际,渐泛黑睛,使黑睛边缘似有白膜。(2)火疳为原发病,为火疳反复发作,使热邪深入黑睛深层,则黑睛边际有舌形或三角状白膜混浊,尖端朝向中心,.并逐渐发展,无溃疡,无赤脉缠绕。病情可呈瓷白色,黑睛边缘参差不齐。 一2、辨自觉症状自觉症状可有羞明流泪,目珠疼痛剧烈。3、辨他觉症状他觉症状主要为白睛深层有单个或多个紫红色斑块,渐泛黑睛,黑睛易发生白色混浊。白膜侵睛病二、治疗原则清热养阴,明目退翳 。白膜侵睛病三、证治分类1、肺肝热毒(自膜侵睛)证候:白睛深层有一个或多个紫红色斑块,黑睛出现舌状白色混浊,疼痛剧烈,羞明流泪,舌红,少苔,脉数弦。治法:泻肺散结,清肝退翳。代表方:菊花决明散加减。常用中药:菊花、石决明、草决明、羌活、防风、生甘草、天花粉、木贼草、川芎、黄芩、蔓荆子、生石膏、玄参2、阴虚邪留(白膜侵睛)证候:本病后期,白睛深层紫红色斑块隆起,逐渐消退,渐变青蓝,患处白睛变薄,失去光泽,黑睛舌状混浊渐成瓷白色,或陶瓷青灰色,可反复发作,舌红,脉数弦。治法:滋阴降火。代表方:知柏地黄汤加味。常用中药:知母、黄柏、生地黄、牡丹皮、山药、泽泻、山萸肉、白茯苓、白蒺藜、菊花、蝉蜕、密蒙花、谷精草3、风湿热邪攻目(白膜侵睛)证候:畏光流泪,头目疼痛,白眼深层有结节隆起,局部壅肿,白睛混赤,向黑睛蔓延时,黑睛深层出现舌状混浊,肢节疼痛,舌红苔腻,脉濡数。治法:祛风除湿,清热散结。代表方:羌活除湿汤。常用中药:牡丹皮、赤芍、黄芩、桑白皮、苍术、藁本、柴胡、防风、升麻
其他治疗
外治法
(1)选用八宝眼药(炉甘石、冰片、珍珠、硼砂、麝香、熊胆、野荸荠、海螵蛸,共为细末)点眼,每日3次。适用予本病各证。
(2)必要时用醋酸可的松眼药水滴眼,每日3-4次。
(3)若瞳孔缩小者,用1%阿托品滴眼液滴眼散瞳。
(4)热敷局部以止痛。
预防
预防措施
宜少食辛辣炙爝之品,以防助热伤阴;加强锻炼,增强体质;适时药物调补,以防复发。