多发性疖

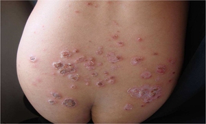
多发性疖,中医病名。本病是指多个疖在一定部位或散发在身体各处,易于反复发作的疾患,其特点是此愈彼起,日久不愈,治疗往往不能控制其复发。若生于后项发际部的称“发际疮”.生于臀部的称“坐板疮”。相当于西医的疖病。
相关中医疾病
就诊科室
发病部位
常见症状
流行病学
病因
诊断
本病不分季节,在身体各处皮肤之间,均可发生。发病后在一定的部位,或在原发疖肿处及其附近,多次复发,缠绵不休。由于病因不同,其所出现的症状和部位亦略有差异。
1、湿火风邪相搏常好发于项后(即名发际疮)、背邵、臀邵,多见于霄壮年(20-40岁)。
2、感受沥青之毒常局限于头面,并有沥青经常接触史。初起时患处皮肤干燥粗糙,并起粉刺样棕黑点丘疹;继而结块成无头疖肿,压之疼痛,并有一定的硬度。往往停止接触沥青数月后才会痊愈。
本病不分季节,在身体各处皮肤之间,均可发生。发病后在一定的部位,或在原发疖肿处及其附近,多次复发,缠绵不休。由于病因不同,其所出现的症状和部位亦略有差异。
1、湿火风邪相搏常好发于项后(即名发际疮)、背邵、臀邵,多见于霄壮年(20-40岁)。
2、感受沥青之毒常局限于头面,并有沥青经常接触史。初起时患处皮肤干燥粗糙,并起粉刺样棕黑点丘疹;继而结块成无头疖肿,压之疼痛,并有一定的硬度。往往停止接触沥青数月后才会痊愈。
1、暑疖
虽亦有一处簇生很多疖肿者,但都在夏秋季节发生,患者以小儿与初产妇占多数,到秋凉后即停止发作。
2、有头疽
溃后状如蜂窝,肿块范围常超过3-4寸以上,初起即有明显全身症状。
3、囊肿型痤疮
好发于面颊及背部,初起为坚实之丘疹,挤之有米粒样白色粉质,由于反复挤压,形成大小不等的结节,病程更长,自青春期发病,往往至30岁以后消失。
治疗
预防
1、消渴、习惯性便秘、营养不良者较易患病,应酌情进行血糖、免疫功能、微量元素等方面的检测。忌食辛辣、鱼腥发物。
2、经常保持局部皮肤清洁,患在头部的宜勤理发,背臀部的宜勤洗澡、勤换衣。并在病灶周围用75%酒精搽擦。
3、尽量少用油膏类药物敷贴。