耳疳

耳疳,中医病名。是指一种耳内漫肿,流黑色臭脓的耳病,多由湿热内蕴和肝火上扰所致。相当于西医的慢性化脓性中耳炎。
其它名称
相关中医疾病
就诊科室
常见症状
主要病因
病因
基本病因
由胃经湿热与肝经火毒相兼而成,亦可由肾阴亏损虚火上炎所致。
诊断
诊断原则
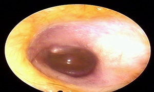
耳中流脓,色黑。
诊断依据
耳中流脓,色黑。
鉴别诊断
与震耳、缠耳、聘耳相鉴别。出黑色臭脓者,名耳疳;出青脓者,名震耳;出白脓者,如缠耳;出黄脓者,名聘耳。
治疗
治疗原则
胃经湿热与肝经火毒相兼,宜清火利湿;肾阴亏损虚火上炎,宜滋阴降火。
药物治疗
耳疳一、辨证要点本病主要分为虚实两类,实证则为胃经湿热与肝经火毒相兼,虚证则为肾阴亏损虚火上炎。耳疳二、治疗原则胃经湿热与肝经火毒相兼,宜清火利湿;肾阴亏损虚火上炎,宜滋阴降火。耳疳三、证治分类1.实证(胃经湿热与肝经火毒相兼)主证:耳中流脓色黑而腐臭,舌质红,苔黄腻,脉滑数或弦数。治法:清火利湿代表方:龙胆泻肝汤加减。常用药:龙胆草、车前子、木通、黄芩、山栀子、当归、生地、泽泻、柴胡、生甘2.虚证(肾阴亏损虚火上炎)主证:耳中出黑脓而臭,经年不愈,头晕耳鸣, 舌质淡红,苔薄白或少苔,脉细数。治法:滋阴降火代表方:知柏地黄汤加减常用药:熟地黄、山药、山茱萸、泽泻、丹皮、茯苓、知母、黄柏
其他治疗
核桃仁研烂,拧油去渣,得油一钱,兑冰片二分。每用少许,滴于耳内。
预防
预防措施
1、洗澡或游泳时耳朵内如果进水,可能容易滋生细菌,若已进水时,可以用棉棒清洁,但深度不要太深。
2、曾经发生过耳疳的人,容易再度复发,自己要避免感冒,一旦感染到感冒或耳疳,应找医生治疗。
3、家中如果有人抽烟,擦油漆或点香时,应该保持空气流通,这样可防止上呼吸道黏膜受到刺激而引起肿胀。