目劄

目劄,中医病名。是指因风邪侵目,或精血不足,目失濡养所致。以胞睑频频眨动,不能自主控制为主要表现的外障类疾病。又称目连札、小儿割目、小儿两目连劄、目札等。此病以小儿患者多见。小儿慢性结膜炎、小儿多动症、小儿多瞬症等出现以胞睑频频眨动为主要临床表现的疾病,均可参照本节辨证治疗。
英文名称
其它名称
相关中医疾病
就诊科室
发病部位
常见症状
主要病因
病因
基本病因
1、饮食不节,脾胃损伤,脾虚肝旺,气血津液不能濡养目珠。
2、燥邪犯肺伤津,目珠失润。
3、肝肾阴亏,虚火上炎,泪为肝液,生化乏源,更因虚火灼煎,津液不足以润泽目珠。
症状
典型症状
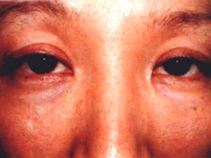
胞睑不由自主地频频眨动,或痒,或稍感涩痛、畏光。
检查
实验室检查
眼部检查
胞睑频频眨动,或见白睛微红,或2%荧光素液检查可见黑睛生星翳。
诊断
诊断原则
1、胞睑频频眨动。
2、白睛微红,或可见黑睛生星翳。
诊断依据
1、胞睑频频眨动。
2、白睛微红,或可见黑睛生星翳。
鉴别诊断
小儿疳积上目、赤丝虬脉、椒疮等病证常兼见本症,应予以鉴别。
1、疳积上目
继发于小儿疳积,是以初起时在暗处不能见物,继而眼珠干燥,黑睛混浊,甚至糜烂破损为特征的眼病。相当于西医学之角膜软化症。如不能及早诊治,容易导致失明。
2、赤丝虬脉
指气轮白睛上血络赤丝明颢的病症。多因血络郁滞所致。椒疮、粟疮一类病症,常有赤丝虬脉出现。其它如用眼过度或过甚等,均可致白睛上血管扩张,发生赤丝脉。
治疗
治疗原则
健脾润燥,养阴清热,滋阴降火。
药物治疗
目劄辩证要点脾虚,气血津液不足,肝旺火灼,耗伤津液,因此辨证除有眼症外,当以脾虚肝旺之全身症状为要点;燥邪伤津耗液,致肺阴不足以润珠,频频眨眼以敷布津液润之,故辨证以白睛微红干涩及肺阴不足的全身症状为要点;肝肾阴亏,津液不足,黑睛失却润养,辨证以眼干涩痛、黑睛生星翳及肝肾阴亏、虚火上炎之全身症状为要点。目劄治疗原则健脾润燥,养阴清热,滋阴降火。目劄证治分类(一)脾虚肝旺症状:胞睑频频眨动,眼轻度痒涩不舒、畏光,常喜揉眼,可见黑睛生星翳;多饮食偏嗜,纳差形瘦,烦躁不宁;舌淡苔薄,脉细数。治法:健脾清热消积。方药:肥儿丸加减。常用药:人参、白术、茯苓、黄连、使君子肉、神曲、麦芽、山楂肉、芦荟、炙甘草。(二)燥邪犯肺症状:胞睑频频眨动,眼干涩不适,白睛微红,或见黑睛细小星翳;可见咽鼻干燥,便秘;舌红少津,脉细数。治法:养阴清热润燥。方药:养阴清肺汤加减。常用药:甘草、芍药、生地、薄荷、玄参、麦冬、贝母、丹皮。(三)阴亏火炎症状:胞睑频频眨动,眼干涩痛,白睛微红,黑睛生星翳;咽干口燥,耳鸣健忘,失眠多梦,五心烦热;舌红少苔,脉细数。治法:滋阴降火。方药:知柏地黄丸加减。常用药:知母、黄柏、生地黄、山茱萸、山药、茯苓、泽泻、当归、白芍、枸杞子、菊花、石决明、白蒺藜。
预防
预防措施
纠正不良的饮食习惯,补充富含维生素A的水果、蔬菜。