伤风鼻塞

伤风鼻塞,中医病名。是指因风邪侵袭所致的以鼻塞、流涕、打喷嚏为主要症状的鼻病。俗称“伤风”。本病四季均可发生,但以秋季和冬春之交多发。西医学的急性鼻炎可参考本病进行辩证施治。
英文名称
其它名称
相关中医疾病
就诊科室
常见症状
主要病因
病因
检查
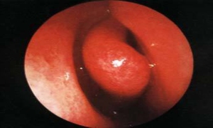
局部检查
鼻黏膜充血肿胀,鼻腔内有较多鼻涕,初期为水样,后渐转为黄黏性。
诊断
1、病史
发病前多有受凉或疲劳史。
2、临床症状
初起鼻痒、干燥灼热感,打喷嚏,鼻塞,流水样鼻涕;随之,鼻塞渐重,鼻涕渐呈黏黄涕,嗅觉减退,语声重浊;后期,鼻塞逐渐减轻,鼻涕渐消。全身可有周身不适、发热、恶寒、头痛等。小儿全身症状较重,可有呕吐、腹泻、倦怠,甚则壮热、抽搐等。
1、病史
发病前多有受凉或疲劳史。
2、临床症状
初起鼻痒、干燥灼热感,打喷嚏,鼻塞,流水样鼻涕;随之,鼻塞渐重,鼻涕渐呈黏黄涕,嗅觉减退,语声重浊;后期,鼻塞逐渐减轻,鼻涕渐消。全身可有周身不适、发热、恶寒、头痛等。小儿全身症状较重,可有呕吐、腹泻、倦怠,甚则壮热、抽搐等。
时行感冒及鼻鼽均可出现鼻塞、流涕、打喷嚏等症状,应与本病加以鉴别。
1、时行感冒
传染性强,寒战、高热、四肢关节及肌肉疼痛等全身症状明显,甚则可有恶心呕吐、腹泻等肠胃 症状,而鼻腔症状较轻;伤风鼻塞则鼻部症状重而全身症状轻。
2、鼻鼽
一般症状发作突然,先感鼻腔发痒、酸胀不适,继则喷嚏频作,鼻塞流清涕,质稀量多,嗅觉暂时减退。检查见鼻内粘膜肿胀湿润,其色淡白或灰白。全身症状可有头痛,耳鸣,听力障碍等,症状发作短暂,消失后则如常态。
治疗
本病以“辛散、通窍”为治疗之大法。但须注意表散不宜太过,以免耗散元气;补益不宜太早,以防留有余寇。
1、滴鼻
用芳香通窍类的中药滴鼻剂滴鼻,以疏通鼻窍。
2、蒸汽吸入
用内服中药药渣蒸汽熏鼻或选用疏风解表、芳香通窍的中药煎煮蒸汽熏鼻。
预防
1、注意休息,清淡饮食,保持大便通畅。
2、鼻塞时,勿强力擤鼻,以防邪毒窜入耳窍,引发耳疾。
3、保持良好的饮食起居习惯,增强机体抵抗。