神水将枯

神水将枯,中医病名。是指因气郁化火,阴津亏损,泪液减少所致。以目珠干燥失泽为主要表现的外障类疾病。是发生于老年人,特别是老年女性的常见病症。本病类似于西医学的结膜干燥综合征。
英文名称
相关中医疾病
就诊科室
常见症状
主要病因
病因
基本病因
1、椒疮毒邪,客于睑络,瘀阻窍道,泪液减少,目珠失润而成。
2、脾失健运,气血生化不足,目失濡养所致。
3、肝肾阴虚,虚火上炎,目失津液润养所致。
诊断
诊断原则
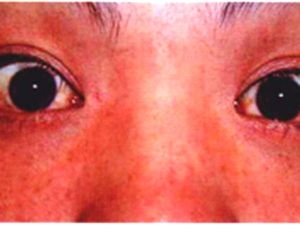
1、眼干涩灼热,刺痛畏光,泪液减少。
2、视力锐减,严重者可致失明。
3、多见老年女性。
诊断依据
1、眼干涩灼热,刺痛畏光,泪液减少。
2、视力锐减,严重者可致失明。
3、多见老年女性。
治疗
治疗原则
本病治疗在辨证论治的基础上,注意滋阴润燥药的应用,但补阴不可过膩,以免碍滞脏腑功能。配合适当的局部治疗,可改善症状,缩短病程。
药物治疗
神水将枯辩证要点本病以虚证为主,因泪为肝液,肝肾同源。现眼干涩少泪,白睛、黑睛干燥无光泽,乃泪液不足,无以湿润之故,证属肝肾亏损,阴精不足。若兼神疲乏力,纳少舌淡者,为脾虚气弱表现。神水将枯治疗原则养阴生津,益气健脾。神水将枯证治分类(一)肝肾亏损症状:双眼干涩不适,羞明泪少,视物模糊;舌苔少,脉细。治法:滋补肝肾,养阴生津。方药: 杞菊地黄丸加减。常用药:枸杞、菊花、熟地、山萸肉、山药、泽泻、茯苓、丹皮、麦冬、决明子、沙苑子、石斛。(二)脾虚气弱症状:双眼干涩,闭目则舒,眼皮重坠,神疲舌淡,脉细弱。治法:健脾益气、润燥明目。方药: 益气聪明汤加减。常用药:黄芪、党参、蔓荆子、白芍、升麻、葛根、菟丝子、女贞子、枸杞子、麦冬。(三)气阴两虚症状:双眼干涩少泪,咽干鼻燥,纳少;舌淡,脉细。治法:益气养阴。方药:生脉散合增液汤加减。常用药:党参、麦冬、五味子、生地黄、玄参、石斛、白术、黄芪、女贞子、沙苑子。
其他治疗
1、三黄眼液滴眼,每日数次
2、蛋黄油眼膏点眼,每日2次。
3、鸡蛋清少许点眼,每日3-4次。
预防
预防措施
1、病后宜少食辛辣炙煿之品,以免助热化火,伤阴耗液而加重病情。
2、居光线较暗房间,外出戴遮光镜,以减少光线刺激达到减轻眼部症状的目的。