顽湿聚结

顽湿聚结,中医病名。是指因风湿聚于肤表所致。以四肢散发豆粒大灰褐色坚实结节,瘙痒,抓后有血痂为主要表现的皮肤疾病。又称马疥。多见于成年人,尤以妇女为多。病程较长,往往经年累月不愈。相当于西医病名结节性痒疹。本病一般预后良好。但也有部分患者经久不愈。
英文名称
其它名称
相关中医疾病
就诊科室
常见症状
主要病因
病因
基本病因
1、邪毒外侵
体内蕴湿,复感外邪风毒,或昆虫叮咬,毒汁内侵,湿邪风毒凝聚,经络阻隔,气血凝滞,形成结节而作痒。
2、情志内伤
忧思郁怒,七情所伤,冲任不调,营血不足,脉络瘀阻,肌肤失养所致。
检查
实验室检查
组织病理表皮明显角化过度,棘层肥厚,表皮突出,不规则地伸入真皮,呈假性上皮瘤样增生。真皮示非特异性炎性浸润,并可见神经纤维及Schwann细胞明显增生。
诊断
诊断原则
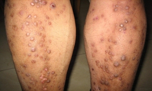
1、好发于成年妇女。
2、皮损好发于四肢,尤以小腿伸侧多见,亦可全身泛发。
3、典型皮损为半球形结节,表面粗糙,角化明显。
4、自觉剧烈瘙痒。
5、组织病理检査示表皮呈假上皮瘤样增生,结节中央或边缘有神经纤维和Schwann细胞增生。
诊断依据
1、好发于成年妇女。
2、皮损好发于四肢,尤以小腿伸侧多见,亦可全身泛发。
3、典型皮损为半球形结节,表面粗糙,角化明显。
4、自觉剧烈瘙痒。
5、组织病理检査示表皮呈假上皮瘤样增生,结节中央或边缘有神经纤维和 Schwann细胞增生。
鉴别诊断
1、疣目
外观类似痒疹性结节,但不痒,好发于手背、手指,组织病理有特异性改变。
2、松皮癣
皮疹为粟粒至绿豆大、质坚硬半球形疹,亦好发于小腿伸侧,但密集而不融合,呈串珠样排列,表面粗糙,组织病理示结晶紫染色,真皮乳头有淀粉样蛋白沉积。
治疗
药物治疗
顽湿聚结病辩证要点本病从表里来辩证。表证表现为皮损浸渍,结节增生成疣状,其色灰褐,瘙痒剧烈;里证表现为皮损硬坚,结节增生粗糙,其色紫黯。顽湿聚结病治疗原则本病湿毒证给予祛湿解毒;里证给予活血化瘀。辅以外治法。顽湿聚结病证治分类1. 血瘀主证:皮损硬坚,结节增生粗糙,其色紫黯,舌黯红,脉迟缓。治法:活血化瘀。方药:血府逐瘀汤。剧痒不止选加全虫10g,皂角刺20g,夜交藤30g,土茯苓30g等;或用山甲10g,全虫10g,皂剌15g,桃仁10g,红花、当归、川芎、三棱、莪术各10g组方治疗。常用药:当归、生地、 桃仁、 红花、枳壳、赤芍、柴胡、 甘草、桔梗、川芎、 牛膝。2.湿毒主证:皮损浸渍,结节增生成疣状,其色灰褐,瘙痒剧烈,舌淡红,脉弦数或脉弦滑。治法:除湿解毒。方药:全虫方加减。久病者加北芪10g,丹参30g;兼有热证皮损潮红者,可用萆薢渗湿汤加减。常用药:萆薢、薏仁、黄柏、赤芩、丹皮、泽泻、滑石、通草。
其他治疗
1、结节较小,浸润不深者,可用鲜芦荟折断,蘸雄黄解毒散外擦,或用黑色拔膏棍外敷,或25%百部酊或复方土槿皮酊外搽,每日数次
2、结节较大,浸润较深者则宜用黑色拔膏棍加温外贴。
预防
预防措施
1、注意避免虫咬、日晒,讲究个人卫生。
2、避免热水烫洗,尽量避免搔抓。
3、注意劳逸结合,精神轻松愉快。